Teeth Whitening in Reading | Veneers in Reading | Dental Crowns in Reading Skip Menu
Continue
  • 270 Main Street,
  • Reading, MA 01867
  • Home
  • About Us
    • Our Office
    • New Patients
    • Smile Gallery
    • Dental Videos
    • Testimonials
    • Insurance Information
  • Patient Forms
  • Meet Dr. Simons
    • Richard Simons, DMD
  • Our Team
  • Services
      • Cosmetic Dentistry
      • Preventive Dentistry
      • Gum & Implant Specialist
      • Technology
    • View All
  • Dental Health
  • Reviews
  • Contact
    • Contact Us
    • Request Appointment

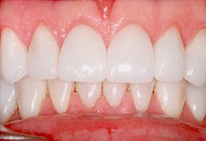
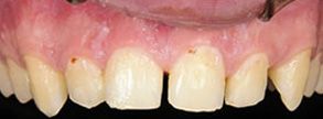
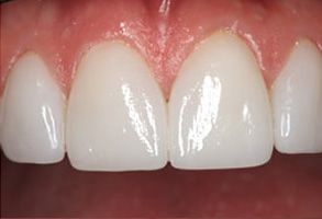
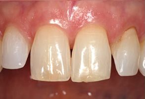
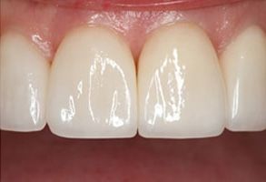
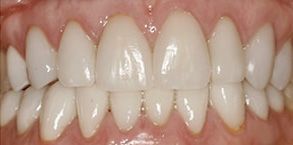
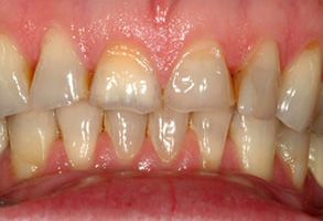
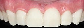
Smile Gallery

Additional Information

Our Location

270 Main Street
Reading, MA 01867
(781) 205-4149

Follow Us